5歲的孩子竟然變成了「老頭」,只因爺爺每天讓他喝這個東西!媽媽在醫院不停地流眼淚,太心痛了

但是,喝過之後既不刷牙又不漱口,躺下就睡。要知道,牛奶是具有酸性的,發酵後會腐蝕牙齒。
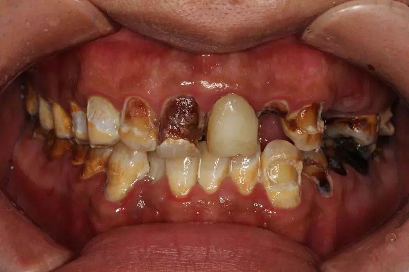
醫生說道,華華這個病用專業術語來講的話,稱為「可樂牙」。 一般碳酸飲料含有大量的酸性物質,能溶解牙齒表面的琺瑯質。
試想一個5歲的孩子,牙齒的抗性能有多強?牙齒整天被泡在酸水裡,日積月累,不出問題才怪!更可怕的是,牛奶和可樂含糖量都非常高。
口腔裡的細菌一遇到糖性物質便會發酵,產生對牙齒有害的酸性,會導致牙齒漸漸被腐蝕掉。 小編看著都心寒,這麼小的孩子,因不能進食餓的這麼瘦了,悲劇啊! 睡覺前,不管吃了什麼喝了什麼,最好教孩子先刷下牙齒,清潔很重要。 在這裡要提醒的是:儘管爺爺奶奶不懂這些,但是爸爸媽媽們應當細心講給老人們聽,儘量不要給小孩子喝碳酸飲料。
如果非喝不可,要控製量,別給孩子喝太多,還有喝完一定要漱口。 一個壞毛病,釀成這麼嚴重的後果,實在是不值得啊!孩子得從小就管好,過于驕縱,不是愛他,而是在害他!